Портал
Кыргызстан
Сводка
Турмуш
Tazabek
Ц. Азия
Аналитика
Спорт
Лимон
Здоровье
Культура
Билим
Репортер
Бешбармакия
Экология
News
Доска
Авто
Недвижимость
Компании
Кто есть кто
Мнения читателей
Ойно
Работа
Справочник
АКИ-TV
Баракелде
Булбул
Подписка
Реклама
Пресс-центр
16+
Подписка
Реклама
Пресс-центр
Чужой компьютер
Забыл пароль?
Регистрация
кырг
рус
Портал
Главная
Иссык-Куль
Чуй
Талас
Нарын
Джалал-Абад
Ош
Баткен
Районы
Баракелде
Репортер
Политика
Экономика
Образование
Общество
Происшествия и расследования
Здоровье
Спорт
Культура
Мнение читателей
Кадры
Жизнь в регионах
Советы специалистов
Международные отношения
Народные легенды
Реклама
PR новости компаний
город Ош: Здоровье
12:02, 16 Июня 2020
В Оше у троих офицеров войсковой части №02626 обнаружен коронавирус
(уточнено)
18:22, 15 Июня 2020
В городе Ош 18 новых случаев коронавируса. Среди них военнослужащие и сотрудник ГСБЭП
15:04, 11 Июня 2020
Где 4 жителя Ошской области подхватили COVID-19?
14:26, 9 Июня 2020
Скончавшаяся в городе Ош 47-летняя женщина, у которой был обнаружен коронавирус, проживала в Жалал-Абаде
21:54, 2 Июня 2020
В Оше врачи вытащили из тела 7-летнего мальчика штырь. Фото
16:13, 2 Июня 2020
На сегодняшний день в Ошской области коронавирус подтвержден у 22 детей
16:57, 28 Мая 2020
Роддом города Ош закрыт: Две матери и родные находящихся в обсервации рожениц усложняют работу медиков
13:23, 27 Мая 2020
У 7 медработников роддома города Ош обнаружен COVID-19
13:56, 26 Мая 2020
Коронавирус в роддоме города Ош. У 14 человек обнаружен COVID-19
13:41, 20 Мая 2020
В городе Ош от коронавируса излечились 111 человек из 127 заболевших
18:05, 14 Мая 2020
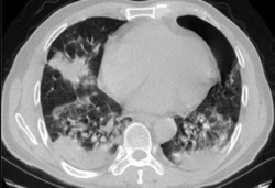
Что коронавирус делает с легкими человека. Наблюдения судмедэксперта из Оша, проводившего вскрытие 3 тел
16:56, 14 Мая 2020
Новый случай COVID-19 в городе Ош: Заразился медработник из детского отделения реанимации
20:18, 10 Мая 2020
В городе Ош 3 человека лечатся от COVID-19
15:36, 4 Мая 2020
В Ошской области имеются 10 тыс. 956 тест-систем на COVID-19
11:25, 1 Мая 2020
Выявили ли в городе Ош всех контактных? Ответ мэра
14:48, 30 Апреля 2020
Во время массовой проверки контактных в Оше у 2 человек выявили COVID-19
01:17, 29 Апреля 2020
Старые машины, аварийное здание, маленькие зарплаты, нехватка врачей: Состояние станции скорой помощи города Ош
(фото)
13:06, 23 Апреля 2020
В Оше сотрудники полпредства и госадминистраций сдают анализы на коронавирус
1
...
17
18
19
20
21
...
50
×